EUROPAPRESS
- Los investigadores han encontrado una relación entre la fibrosis ovárica, el envejecimiento y la metformina.
- Estos hallazgos podrían reducir el riesgo de cáncer de ovario.
- El tumor afecta a unas 3.300 mujeres al año en España.

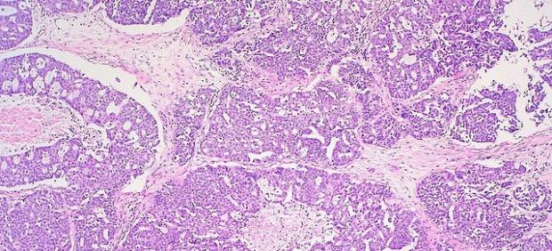
La revista ‘Clinical Cancer Research’ ha publicado un estudio de laboratorio en el que se ofrece una nueva hipótesis sobre cómo se forma el cáncer de ovario, apuntando a la fibrosis que se produce con la edad, y sugiere cómo podría prevenirse con metformina, el medicamento utilizado para la diabetes que podría detener este proceso.
Según explica el doctor Curtis McCloskey, «la fibrosis ocurre cuando los tejidos corporales se lesionan e inflaman repetidamente, dejando fibras de colágeno duras que se acumulan con el tiempo, como una cicatriz en la piel«, y añade «a las células cancerosas les gusta crecer en estos tejidos fibróticos». McCloskey es el autor principal del estudio, y realizó la investigación mientras era estudiante de doctorado en el laboratorio de la doctora Barbara Vanderhyden en el Hospital de Ottawa (Canadá).
«Esperamos que algún día la metformina resulte ser un tratamiento preventivo efectivo para las mujeres más jóvenes que corren un alto riesgo de cáncer de ovario, pero que no pueden extirpar sus ovarios porque todavía quieren tener hijos«, expresa el doctor Vanderhyden.
El equipo descubrió que la fibrosis de los ovarios es una parte normal del envejecimiento, que generalmente aparece después de la menopausia. Durante su investigación, el doctor McCloskey, becario postdoctoral en el Centro de Cáncer Princess Margaret, se sorprendió al encontrar un ovario de una mujer de 69 años que no tenía fibrosis. Los registros médicos mostraron que había estado tomando metformina, un medicamento para la diabetes tipo 2.
Por otro lado, un estudio taiwanés había observado previamente una reducción del 82 por ciento de las tasas de cáncer de ovario entre las pacientes con diabetes tipo 2 que toman metformina.
Ovulación y fibrosis
Los investigadores realizaron entonces una serie de experimentos para investigar los vínculos entre la fibrosis ovárica, el envejecimiento y la metformina. En primer lugar, querían saber qué estaba causando la fibrosis, y pensaron que la respuesta podría estar en la ovulación, ya que, cuando un ovario libera un óvulo, se inflama y crea un ciclo mensual de herida y reparación.